backup og meta

Bullous Emphysema: Symptoms, Causes, and Treatment

Gas exchange, the process where our body takes in oxygen from the air we breathe and releases carbon dioxide, happens in the lungs, particularly in the capillaries of little sacs called alveoli. People with emphysema have damaged alveoli. And when destroyed, alveoli can form into air-filled spaces called bullae1. Learn more about bullous emphysema here. 

Bullous Emphysema: Symptoms, Causes, and Treatment

What Is Bullous Emphysema?

Bullous emphysema is a condition where giant bullae develop in the emphysematous lung. Experts define bullae as air-filled spaces which are at least 1 cm in diameter².

Lung bullae, while most often associated with emphysema, can develop in other disorders and even in normal lungs. For this reason, patients with bullous lung disease are typically subdivided into two groups: those with COPD association (bullous emphysema-BE) and those without airway obstruction (primitive bullous disease–PBD)³

What Are the Signs and Symptoms of Bullous Emphysema?

The signs and symptoms of bullous emphysema include:

  • Shortness of breath or difficulty breathing
  • Wheezing 
  • Chest pain
  • Chronic cough with phlegm
  • Nausea
  • Loss of appetite
  • Fatigue
  • Nail changes

Many cases are asymptomatic until bullae occupy 30% of a hemithorax (one side of the chest). In those cases, the patient usually develops difficulty breathing or shortness of breath. 

The experiences of symptomatic patients vary, but shortness of breath is common. For instance, a case report about a 28-year old patient mentioned that the patient was forced to quit work due to “increasing shortness of breath” and “general weakness.⁴” 

Another case study focused on a 50-year old patient  whose complaint was a two-year long difficulty breathing upon exertion. Assessments revealed he had no history of chest pain or cough⁵

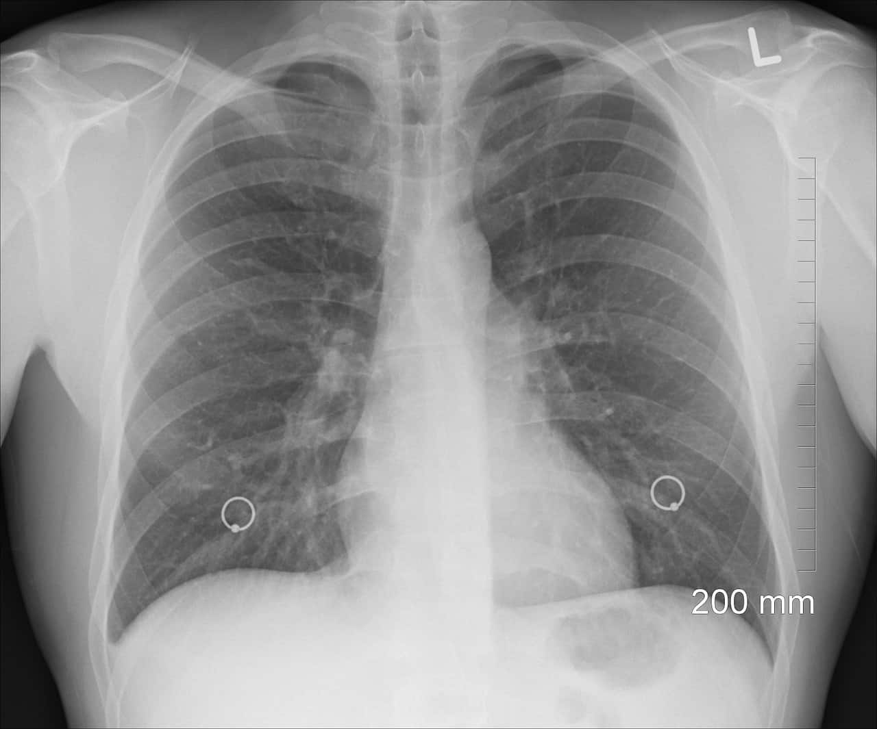
One remarkable sign of bullous emphysema is seen through a chest x-ray. According to experts, the giant bullae often appear to make the lungs disappear. For this reason, many doctors also call bullous emphysema the “vanishing lung syndrome.”

Causes

The two most common causes of bullous emphysema are cigarette smoking and an inherited condition called alpha-1 antitrypsin deficiency. 

Note that having alpha-1 antitrypsin deficiency generally increases the risk for chronic obstructive pulmonary disease — not just bullous emphysema. It also heightens the possibility of skin problems, liver disease, and inflammation of blood vessels. 

Reports also say smoking crack cocaine or marijuana, or using intravenous illicit drugs that damage the alveoli, can lead to bullous emphysema²

Treatment

As of now, there’s still no cure for emphysema, but there are treatments for the symptoms and to prevent disease progression. The doctor may recommend:

  • Smoking cessation – This step is necessary to slow down the disease progression. 
  • Medicines – For shortness of breath, many doctors prescribe albuterol, which helps widen air passages, significantly improving airflow. The doctor may also prescribe antimuscarinic drugs to reduce secretions. 
  • Vaccines – Doctors highly encourage patients with bullous emphysema to receive the pneumonia vaccine and annual flu shots. These vaccines reduce the risk of coexistence of COPD and other respiratory diseases. 
  • Oxygen therapy – This may be advised for patients who have difficulty maintaining normal oxygen levels. A patient with acute exacerbation may also receive oxygen therapy
  • Surgery – Finally, if the bullae already occupies at least 30% of hemithorax, and the patient already exhibits shortness of breath or complications, such as hemoptysis (coughing up blood) and pneumothorax (collapsed lung), the doctor may recommend the surgical removal of bullae. 

On top of these, the doctor will also give instructions on lifestyle changes that may alleviate the symptoms. They will also advise the patient to not skip scheduled check-ups and tests. 

Key Takeaways

Bullous emphysema occurs when giant air-filled spaces develop in emphysematous lungs. There’s still no cure for this condition, but there are treatments that improve the symptoms and slow down the progression. 

If you have symptoms pointing to a respiratory condition, please get in touch with your doctor as soon as possible. 

Learn more about Emphysema here

Disclaimer

Hello Health Group does not provide medical advice, diagnosis or treatment.

1 Emphysema, https://www.mayoclinic.org/diseases-conditions/emphysema/symptoms-causes/syc-20355555, Accessed October 14, 2021

2 Bullous Emphysema, https://www.ncbi.nlm.nih.gov/books/NBK537243/, Accessed October 14, 2021

3 Bullous emphysema versus diffuse emphysema: a functional and radiologic comparison, https://www.sciencedirect.com/science/article/pii/S0954611104002574, Accessed October 14, 2021

4 Vanishing Lungs: A Case Report of Bullous Emphysema, https://pubs.rsna.org/doi/10.1148/28.3.367, Accessed October 14, 2021

5 Bullous Lung Disease or Bullous Emphysema?, http://rc.rcjournal.com/content/respcare/51/5/532.full.pdf, Accessed October 14, 2021

6 Alpha-1 antitrypsin deficiency, https://rarediseases.info.nih.gov/diseases/5784/alpha-1-antitrypsin-deficiency, Accessed October 14, 2021

Current Version

07/26/2024

Written by Lorraine Bunag, R.N.

Medically reviewed by Jezreel Esguerra, MD

Updated by: Jan Alwyn Batara


People Are Also Reading This

What Causes a Wet Cough? And What Is the Best Treatment?

When is Shortness of Breath an Emergency? Find Out Here


Medically reviewed by

Jezreel Esguerra, MD

General Practitioner


Written by Lorraine Bunag, R.N. · Updated Jul 26, 2024

ad iconadvertisement

Was this article helpful?