backup og meta

Subcutaneous Emphysema: What Makes Your Skin Bulge?

People know of emphysema as one of the most common respiratory diseases out there. But, what makes subcutaneous emphysema different from the usual emphysema people are familiar with. Does it have the same causes and airborne irritants? What are the signs and symptoms leading to it? How can treatment take place? Find out here. 

Subcutaneous Emphysema: What Makes Your Skin Bulge?

Subcutaneous Emphysema, Defined

Subcutaneous emphysema is a condition that occurs when air penetrates into the tissues beneath the skin and in the soft tissues (subcutaneous layer of the skin). This most commonly affects the soft tissues of the chest wall or neck, although it can also affect other sections of the body.

It is a rare condition that people may also refer to it as surgical emphysema. 

Signs and Symptoms

A smooth bulging of the skin is a common symptom of subcutaneous emphysema. The gas is pushed through the tissue when a medical professional checks and touches the skin, which causes a strange crackling feeling or crepitus.

Other signs and symptoms may include one or more of the following:

  • Tender sore throat
  • Aching neck
  • Difficulty in swallowing 
  • Breathlessness
  • Wheezing
  • Distension

Causes

There are several causes that make smooth skin bulge, which can either be from the gas arising internally or externally.

Gas arising internally

  • Pneumothorax (a collapsed lung that may occur alongside a rib fracture)
  • Pneumomediastinum
  • Pulmonary interstitial emphysema
  • Esophageal perforation
  • Fistula tract

Gas introduced externally

  • Penetrating trauma (such as gunshots or stab wounds)
  • Iatrogenic means 

It can also be caused by a variety of factors, including certain surgical procedures that include the insertion of a tube into the body.

Endoscopy

A tube is inserted through the mouth and into the esophagus to the stomach.

Bronchoscopy

A tube is being placed into the bronchial tubes via the mouth.

Central venous line 

A thin catheter attaches to the vein close to the heart. 

Endotracheal intubation 

A tube sticks into the throat and trachea, which enters through the mouth or nose.

Other causes of subcutaneous emphysema are as follows:

  • Blunt trauma 
  • Facial bone fracture 
  • Airway rupture
  • Tear in the esophagus or gastrointestinal tract 
  • Blast injuries 
  • Boerhaave syndrome (forceful vomiting)
  • Breathing in cocaine
  • Pertussis (whooping cough)
  • Infections such as gas gangrene

Scuba divers are also prone to subcutaneous emphysema as air can enter between skin layers on the arms, legs, or even the torso part of the body. 

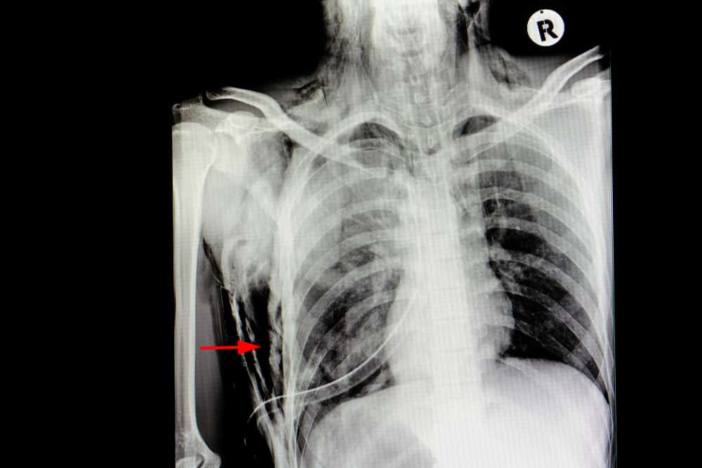
Diagnosis

The causes leading to subcutaneous emphysema are quite severe on their own. So, you if suspect yourself to feel some subcutaneous air in regards to the abovementioned causes, it is best to seek medical assistance right away. 

Before running a series of x-ray examinations and administering treatment and management, your medical provider will observe your vital signs such as:

  • Oxygen saturation
  • Temperature
  • Pulse
  • Breathing rate
  • Blood pressure

X-ray imaging and computed tomography (CT) scans are a few of the common tests that can help evaluate the prevalence of subcutaneous emphysema.

Treatment and Management

It is far more important to treat the underlying causes of subcutaneous emphysema before directing it to its own management. It is possible that it will resolve over time in some circumstances. Apart from the causes, the doctors also find symptomatic treatment. 

In limited cases where subcutaneous gas is damaging the overlying soft tissue or causing compartment syndrome, the gas may be released either through surgical division of the soft tissues or through the insertion of a percutaneous drain.

Key Takeaway

Subcutaneous emphysema is a comorbidity to other underlying conditions. You may notice this rare condition when it forms a skin bulge. If you ever happen to feel one or you suffer from the said causes, inform your doctor right away.

Learn more about Emphysema here.

Disclaimer

Hello Health Group does not provide medical advice, diagnosis or treatment.

Classification and Management of Subcutaneous Emphysema: a 10-Year Experience – Manouchehr Aghajanzadeh, Anosh Dehnadi, Hannan Ebrahimi, Morteza Fallah Karkan, Sina Khajeh Jahromi, Alireza Amir Maafi, and Gilda Aghajanzadeh, https://www.ncbi.nlm.nih.gov/pmc/articles/PMC4692895/ Accessed October 14, 2021

Subcutaneous emphysema, https://m.ufhealth.org/subcutaneous-emphysema Accessed October 14, 2021

Subcutaneous emphysema, https://medlineplus.gov/ency/article/003286.htm Accessed October 14, 2021

Subcutaneous emphysema, Kelsey Kukuruza and Ayham Aboeed,  https://www.ncbi.nlm.nih.gov/books/NBK542192/ Accessed October 14, 2021

Subcutaneous emphysema, https://radiopaedia.org/articles/subcutaneous-emphysema Accessed October 14, 2021

 

Current Version

02/15/2023

Written by Fiel Tugade

Medically reviewed by Martha Juco, MD

Updated by: Martha Juco, MD


People Are Also Reading This

Chronic Bronchitis vs Emphysema: What's the Difference?

What Causes Emphysema Besides Smoking?


Medically reviewed by

Martha Juco, MD

Aesthetics


Written by Fiel Tugade · Updated Feb 15, 2023

ad iconadvertisement

Was this article helpful?