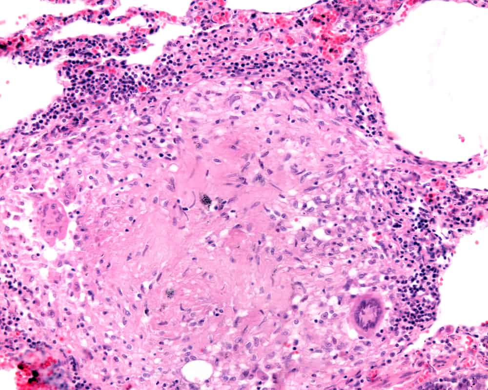
What are granuloma in lungs? Granulomas are small cells that are clumped together when lung tissues become inflamed. Actually, it is the body’s defense mechanism when the immune system detects foreign substances invading the body.
What are granuloma in lungs? Granulomas are small cells that are clumped together when lung tissues become inflamed. Actually, it is the body’s defense mechanism when the immune system detects foreign substances invading the body.

Granulomas are more likely to occur in the lungs than in any other organ in the body. And they have the tendency to calcify over time due to the calcium that forms during the healing process.
Granulomas in lungs can either be cancerous or noncancerous. However, please note that people who are diagnosed with this finding mostly have noncancerous or benign granulomas.
Below is a list of the possible causes of granuloma in lungs:
Infections are the main cause of granuloma in the lungs. At present, Mycobacterium tuberculosis is one of the major causative agents causing a large number of granuloma cases.
These are small inflamed cells that are usually found in the lungs. But you can see them in lymph nodes as well. They affect the eyes, heart, skin, and other organs in the body.
Inflammation in the lungs may be caused by different factors which include drugs, bird feathers, radiation treatments, and molds and bacteria.
This condition is a type of inflammation disorder that affects multiple parts of the body such as the eyes, skin, lungs, blood vessels, and the heart.
This complication is serious yet treatable. It is a highly rare blood disease that causes symptoms affecting the kidneys, nose, sinuses, throat, and the lungs. Additionally, this condition slows down the blood flow to organs in the body, causing complications. So tissues affected by this condition become inflamed, and create granulomas.
Most of the time, granulomas in lungs don’t present with any symptoms. If you develop symptoms, they may include the following:
Still, lung granulomas are often an incidental findings on chest radiograph imaging. In other words, health professionals often only discover granulomas when patients have themselves checked up through medical scans such as:
Radiological abnormalities may include:
There is no treatment required for those diagnosed with granuloma in their lungs, especially when they exhibit no symptoms. However, it is recommended that you seek treatment for your condition when you are experiencing discomfort. So treatments depend on which condition caused the formation of granuloma in the lungs.
Steroid medicines such as prednisone help reduce inflammation in the lungs and lymph nodes. In case steroids are ineffective, doctors will recommend other medications, such as methotrexate.
Doctors will prescribe antibiotic therapy to fight off and prevent bacterial and fungal infections. So if you suspect an infection, do not self-medicate with antibiotics; only doctors can prescribe you medicines against infections. So it is important seek consult with a doctor to get the right and appropriate treatment.
The body creates granulomas as part of its defense against foreign substances. They may be non-cancerous or cancerous.
It is important to visit the hospital and have yourself examined regularly because conditions like granuloma in the lungs are difficult to diagnose since people do not always show symptoms. Lastly, for those who do not exhibit symptoms, no treatment is required.
Learn more about Other Respiratory Issues here.
Disclaimer
Hello Health Group does not provide medical advice, diagnosis or treatment.
Granuloma: What does it mean?
https://www.mayoclinic.org/granuloma/expert-answers/faq-20057838
Accessed April 17, 2021
Pulmonary Nodules
https://my.clevelandclinic.org/health/diseases/14799-pulmonary-nodules
Accessed April 17, 2021
Pneumonitis
https://www.mayoclinic.org/diseases-conditions/pneumonitis/symptoms-causes/syc-20352623#:~:text=Pneumonitis%20occurs%20when%20an%20irritating,have%20been%20linked%20to%20pneumonitis.
Accessed April 17, 2021
Sarcoidosis
https://www.mayoclinic.org/diseases-conditions/sarcoidosis/symptoms-causes/syc-20350358
Accessed April 17, 2021
Lung granuloma: A clinicopathologic study of 158 cases
https://www.ncbi.nlm.nih.gov/pmc/articles/PMC5656947/
Accessed April 17, 2021
Chronic granulomatous disease
https://www.mayoclinic.org/diseases-conditions/chronic-granulomatous-disease/diagnosis-treatment/drc-20355818
Accessed April 18, 2021
Current Version
04/17/2024
Written by Jen Mallari
Medically reviewed by Jezreel Esguerra, MD
Updated by: Jan Alwyn Batara
People Are Also Reading This