What is multiple myeloma?
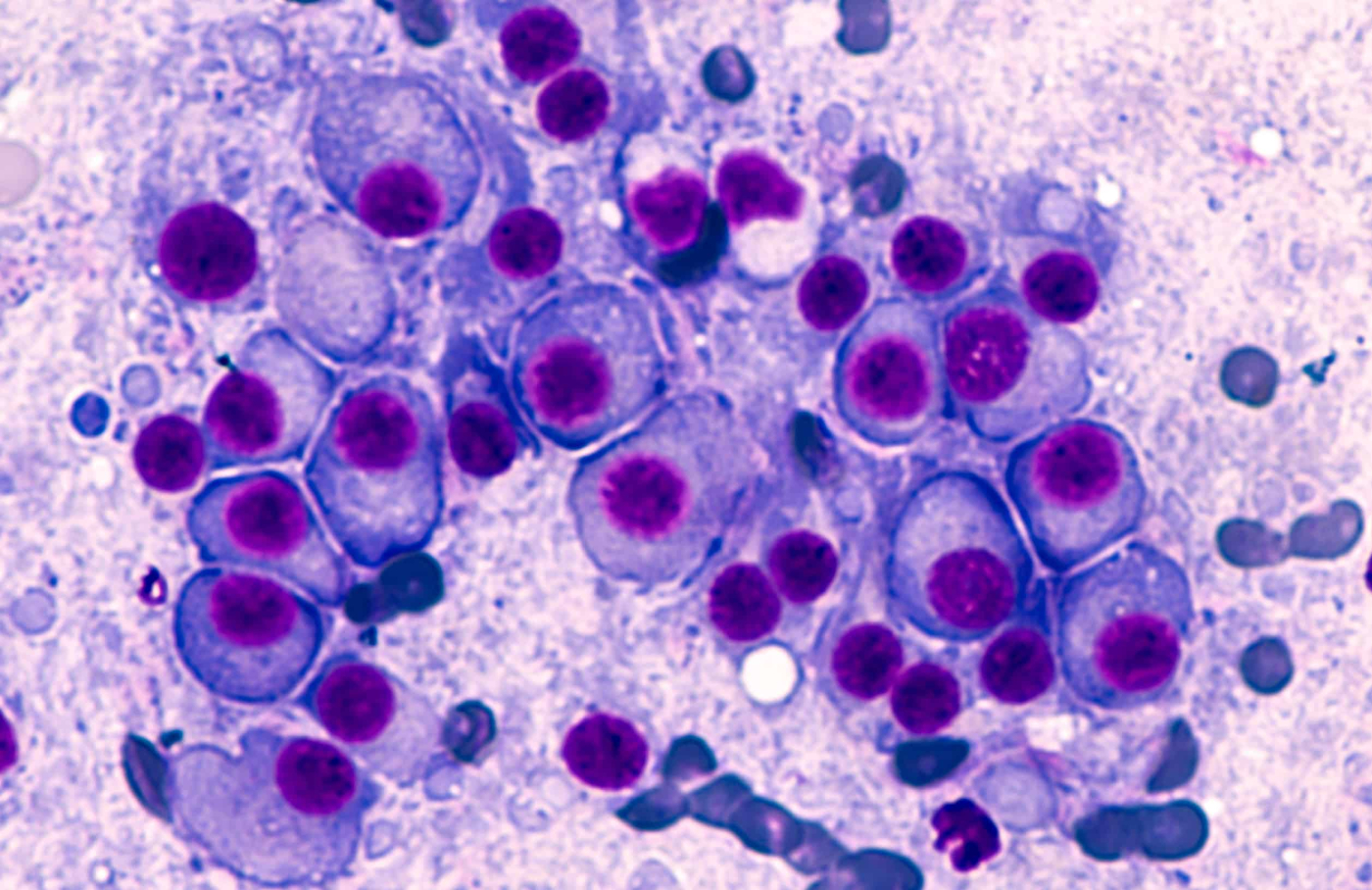
Multiple myeloma is a type of cancer of the plasma cells (a type of white blood cell). Plasma cells are located in the bone marrow (soft tissue inside the bones). They have an important function when it comes to the immune system. The immune system contains different types of cells that help in fending off various infections and diseases that may harm the body.
Other types of white blood cells are the lymph cells, T cells, and B cells. When the B cells respond to an infection that is infiltrating the body, they differentiate into plasma cells. Once a B cell becomes a plasma cell, it then develops antibodies that aid in fighting off the germs from the body.
Plasma cells start to become malignant or cancerous when they accumulate in the bone marrow. These plasma cells become multiple myeloma cells.
These cells produce abnormal antibodies that have no benefit to the body and can cause tumors, bone destruction, damage to the kidneys, and impaired immune function. These abnormal proteins are known by different names such as M-protein, M-spike, paraprotein, and monoclonal immunoglobulin.
The bone marrow becomes flooded with multiple myeloma cells and the healthy blood cells are overwhelmed.
What is multiple myeloma: Signs and symptoms
Signs and symptoms may vary per person. Patients may not show any symptoms early on.
Below is a list of the following symptoms that may occur:
- Nausea
- Constipation
- Loss of appetite
- Loss of weight
- Feeling weak and numb in the area of your legs
- Bone pain (feeling pain in the chest or spine)
- Fatigue
- Infections happen frequently
- Confusion or mind becomes foggy
- Excessive thirst
What is multiple myeloma: Causes
The specific cause of multiple myeloma is still under investigation. However, various genetic mutations may cause multiple myeloma.
People with the following conditions are more susceptible to getting multiple myeloma:
- Older people, especially those who are 60 years of age and above.
- Those with a family history of this condition.
- Males are more prone to this disease than females.
- Blacks are more susceptible compared to other races.
- Having monoclonal gammopathy of undetermined significance (MGUS). Although MGUS is not a type of cancer, it is considered pre-malignant and most people who have this will eventually develop cancers such as multiple myeloma, amyloidosis, and lymphoma.
What is multiple myeloma: Complications
Having this condition may result in complications such as:
- Getting infections more frequently.
- Loss of red blood cells, causing anemia.
- Weakened kidney function and kidney failure.
- Bone pain, bone thinning, and broken bones.
Diagnosis of multiple myeloma
Multiple myeloma is diagnosed by doctors through blood tests or through signs and symptoms that a person is exhibiting.
Doctors may perform these tests done in order to diagnose a person with multiple myeloma:
- Blood tests
- Examination of the bone marrow
- Imaging tests
- Urine tests
Treatment
Below are some treatments for multiple myeloma:
Local treatments
- Surgery
- Radiation therapy
Systemic treatments
- Drug therapy
- Chemotherapy
- Steroids
- Proteasome inhibitors
- Immunomodulating agents
- Monoclonal antibodies
- Histone deacetylase
- Nuclear export inhibitor
- Bisphosphonates for bone disease
- Stem cell transplant
- CAR T-cell therapy
- Supportive treatments
- Intravenous immunoglobulin
- Plasmapheresis
- Treatment for low blood cell counts (medications such as Procrit and Aranesp will be given)
Key takeaway
If you happen to be experiencing symptoms of multiple myeloma, it is advised for you to visit a hospital right away. This is to prevent the condition from worsening and to receive treatments that would address the early stages of cancer.
Learn about Other Cancers here.


















