backup og meta

Ano Ang Subcutaneous Emphysema? Bakit Umuumbok Ang Balat?

Alam ng mga tao na ang emphysema ay isa sa mga pinakakaraniwang sakit sa paghinga. Ngunit, ano ang subcutaneous emphysema? Ano ang pinagkaiba nito sa karaniwang emphysema na pamilyar sa mga tao? Ang mga ito ba ay may parehong mga sanhi at airborne irritants? Ano-ano ang mga senyales at sintomas na humahantong sa kondisyong ito? Paano isinasagawa ang gamutan? Alamin sa artikulong ito.

Ano Ang Subcutaneous Emphysema? Bakit Umuumbok Ang Balat?

Ano Ang Subcutaneous Emphysema?

Ang subcutaneous emphysema ay isang kondisyong nangyayari kapag ang hangin ay tumagos sa mga tissue sa ilalim ng balat at sa malalambot na tissues (subcutaneous na layer ng balat). Ito ay pinakakaraniwang nakaaapekto sa malalambot na tissues sa wall ng dibdib o leeg, bagama’t maaari itong makaapekto sa iba pang mga bahagi ng katawan.

Ito ay isang bihirang kondisyong maaari ding tawaging surgical emphysema.

Ano Ang Subcutaneous Emphysema? Mga Senyales At Sintomas

Ang makinis na umbok sa balat ay isa sa mga karaniwang sintomas ng subcutaneous emphysema. Tinutulak ng gas ang tissue kapag ito ay sinusuri o hinahawakan ng doktor, at nagiging sanhi ng kakaibang pakiramdam ng pagkaluskos o crepitus.

Maaaring kabilang sa iba pang mga senyales at sintomas nito ang isa o higit pa sa mga sumusunod:

  • Malambot na pamamaga sa lalamunan
  • Pagsakit ng leeg
  • Kahirapan sa paglunok
  • Kakapusan ng hininga
  • Paghingal
  • Distension

Ano Ang Subcutaneous Emphysema? Mga Sanhi

Maraming mga sanhi ang nagiging dahilan ng makinis na umbok sa balat, na maaaring mula sa gas na lumalabas sa loob o labas ng katawan.

Gas Mula Sa Loob

  • Pneumothorax (pagkasira sa baga na maaaring mangyari kasabay ng bali sa rib)
  • Pneumomediastinum
  • Pulmonary interstitial emphysema
  • Esophageal perforation
  • Fistula tract

Gas Mula Sa Labas

  • Penetrating trauma (tulad ng tama ng baril o mga saksak)
  • Latrogenic means

Maaari din itong sanhi ng iba’t ibang mga salik, kabilang ang mga tiyak na mga paraan ng operasyon na kinabibilangan ng pagpasok ng tubo sa katawan.

Endoscopy

Ang isang tubo ay ipinapasok sa bibig, papasok sa esophagus at papunta sa tiyan.

Bronchoscopy

Isang tubo ang inilalagay sa bronchial tubes sa pamamagitan ng bibig.

Central Venous Line

Ang isang manipis na catheter ay kinakabit sa ugat na malapit sa puso.

Endotracheal Intubation

Isang tubo ang idinidikit sa lalamunan at trachea, na pinapasok sa bibig o ilong.

Ang iba pang mga sanhi ng subcutaneous emphysema ay ang mga sumusunod:

  • Blunt trauma
  • Pagkabali ng buto sa mukha
  • Pagputok ng ugat na daanan ng hangin
  • Punit sa esophagus o gastrointestinal tract
  • Blast injuries
  • Boerhaave syndrome (malakas na pagsusuka)
  • Paglanghap ng cocaine
  • Pertussis (whooping cough)
  • Mga impeksyon tulad ng gas gangrene

Madaling magkaroon ng subcutaneous emphysema ang scuba divers dahil maaaring pumasok ang hangin sa pagitan ng layers ng balat sa mga braso, binti, o maging sa torso na bahagi ng katawan.

Ano Ang Subcutaneous Emphysema? Mga Sanhi

Ang mga sanhing ito na humahantong sa subcutaneous emphysema ay bahagyang malubha. Kung kaya, kung sa iyong palagay ay may ganito kang karamdaman batay sa mga nabanggit na sanhi, mainam na humingi agad ng medikal na tulong.

Bago pa man sumailalim sa serye ng x-ray examinations at magsagawa ng mga gamutan at pagkontrol, oobserbahan ng doktor ang ilang mga mahahalagang senyales tulad ng:

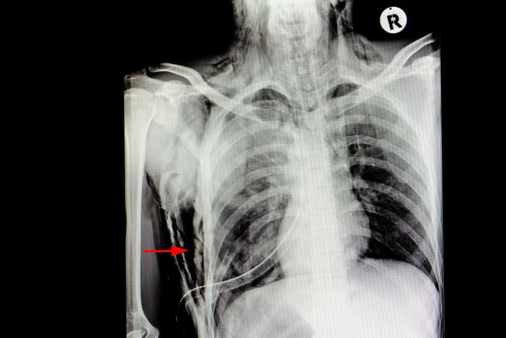
Ang X-ray imaging at computed tomography (CT) scan ay ilan sa karaniwang tests na makatutulong sa pagsusuri ng prevalence ng subcutaneous emphysema.

Ano Ang Subcutaneous Emphysema? Mga Gamutan At Pagkontrol

Mas mahalagang gamutin ang iba pang mga sanhi ng subcutaneous emphysema bago direktang gawin ang pagkontrol sa kondisyong ito. Posible itong malunasan sa paglipas ng panahon sa ilang mga pagkakataon. Bukod sa mga sanhi, hahanap din ang mga doktor ng symptomatic na gamutan.

Sa limitadong mga kaso kung saan ang subcutaneous gas ay nakasisira sa nakapatong na malalambot na tissue o nagiging sanhi ng compartment syndrome, ang gas ay maaaring lumabas sa pamamagitan ng surgical division ng soft tissues o sa pamamagitan ng pagpasok ng percutaneous drain.

Key Takeaways

Ang subcutaneous emphysema ay isang comorbidity ng iba pang mga kondisyon. Maaaring mapansin ang bihirang kondisyong ito kung magkaroon ng umbok sa balat. Kung sakaling makaramdam o makaranas ng isa sa mga nasabing sanhi nito, ipagbigay-alam kaagad ito sa doktor.

Matuto pa tungkol sa Emphysema rito.

Disclaimer

Ang Hello Health Group ay hindi nagbibigay ng medikal na payo, diagnosis o paggamot.

Classification and Management of Subcutaneous Emphysema: a 10-Year Experience – Manouchehr Aghajanzadeh, Anosh Dehnadi, Hannan Ebrahimi, Morteza Fallah Karkan, Sina Khajeh Jahromi, Alireza Amir Maafi, and Gilda Aghajanzadeh, https://www.ncbi.nlm.nih.gov/pmc/articles/PMC4692895/, Accessed October 14, 2021

Subcutaneous emphysema, https://m.ufhealth.org/subcutaneous-emphysema, Accessed October 14, 2021

Subcutaneous emphysema, https://medlineplus.gov/ency/article/003286.htm, Accessed October 14, 2021

Subcutaneous emphysema, Kelsey Kukuruza and Ayham Aboeed,  https://www.ncbi.nlm.nih.gov/books/NBK542192/, Accessed October 14, 2021

Subcutaneous emphysema, https://radiopaedia.org/articles/subcutaneous-emphysema, Accessed October 14, 2021

Kasalukuyang Version

04/14/2023

Isinulat ni Niña Christina Lazaro-Zamora

Narebyung medikal ni Martha Juco, MD

In-update ni: Vincent Sales


Kaugnay na Post

Sintomas Ng Emphysema Na Dapat Mong Tandaan


Narebyung medikal ni

Martha Juco, MD

Aesthetics


Isinulat ni Niña Christina Lazaro-Zamora · a

ad iconPatalastas

Nakatulong ba ang artikulong ito?

ad iconPatalastas
ad iconPatalastas