Ang mga procedure o gamot sa bulok na ngipin ang karaniwang nirerekomenda ng dentista kapag nakakita ito ng pagkasira ng ngipin. Karaniwang sinusuri ang ngipin at tinatanong ng dentista kung sensitibo ba ang ngipin mo sa partikular na pagkain. Kung minsan, gumagamit ng x-ray upang makita kung gaano na kalawak ang cavities at ang pagkabulok.
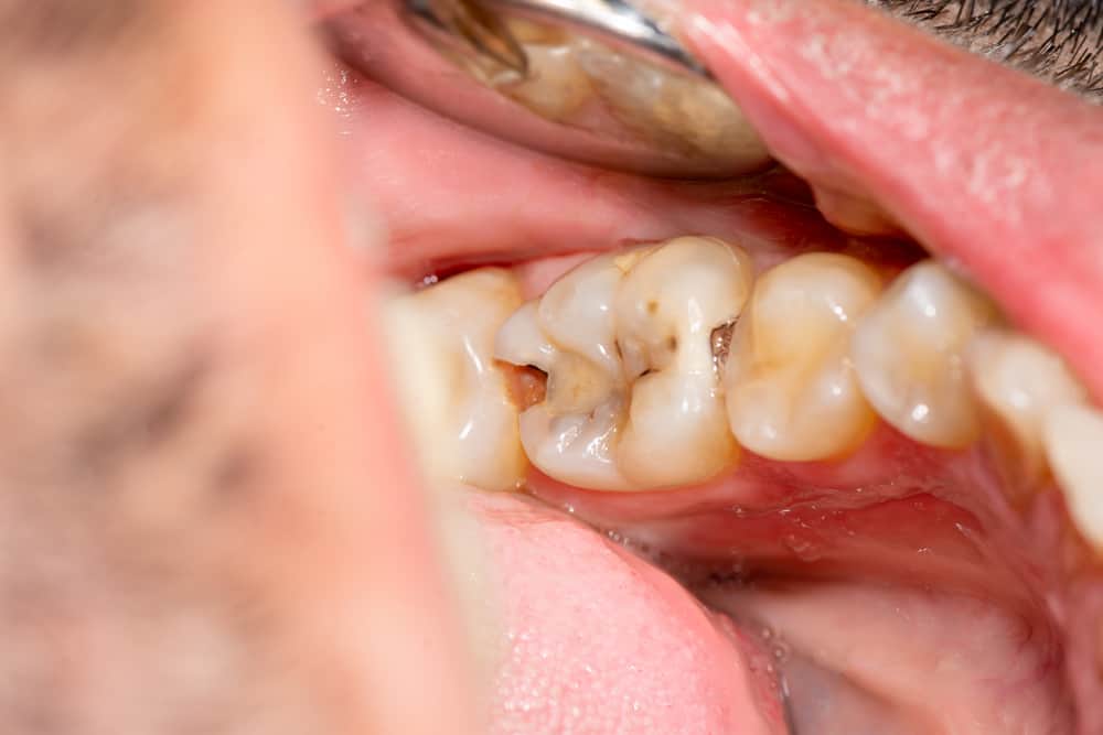
Marahil alam mo na ang dental cavity ay butas sa ngipin. Ngunit alam mo ba na ang cavity o lukab ay resulta ng proseso ng pagkasira ng ngipin sa paglipas ng panahon? Alam mo rin ba na maaari mong pigilan at baguhin ang prosesong ito upang maiwasan ang pagkakaroon ng cavities?
Bulok na Ngipin: Ano ito, Saan Galing, at Paano ito Nabubuo?
Mga gamot sa bulok na ngipin: Sanhi ng bacteria
Ang bibig ay puno ng bakterya. Daan-daan at iba’t ibang uri ang nabubuhay sa mga ngipin, gilagid, dila at iba pang lugar sa loob ng bibig. Nakakatulong ang ilang bacteria. Ngunit ang ilan ay maaaring makapinsala tulad ng mga bacteria na may ginagampanang papel sa proseso ng pagkabulok ng ngipin.
Ang pagkabulok ng ngipin ay resulta ng impeksyon sa ilang uri ng bacteria na gumagamit ng mga asukal sa pagkain upang makagawa ng mga acid. Sa paglipas ng panahon, ang mga acid na ito ay maaaring magdulot ng lukab sa ngipin.
Gamot sa bulok na ngipin: Mga opsyon
Fluoride
Nasubukan na sa maraming dekada ang kahalagahan ng fluoride para kalusugan ng bibig. Sinusuportahan nito ang malusog na enamel ng ngipin at nilalabanan ang bacteria na pumipinsala sa mga ngipin at gilagid. Ang enamel ng ngipin ay ang panlabas na patong na nagbibigay proteksyon sa bawat ngipin. Mas makakatulong ang fluoride kung ikaw ay nasa mataas na panganib na magkaroon ng mga cavities.
Kung nagsisimula pa lang ng iyong cavity, ang fluoride treatment ay maaaring makatulong sa pagpapanumbalik ng enamel ng iyong ngipin. Kung minsan ay maaari nitong baliktarin ang masamang epekto ng cavities kapag nasa maagang yugto ang pagkasira ng ngipin. Ang mga propesyonal na fluoride na gamot sa bulok na ngipin ay naglalaman ng mas maraming fluoride kaysa sa dami ng makikita sa tubig mula sa gripo, toothpaste at mga mouthwash. Maaaring ang fluoride ay nasa porma ng likido, gel, foam o varnish na ipinupukol sa iyong mga ngipin o inilalagay sa isang maliit na tray na kasya sa iyong mga ngipin.
Ang fluoride varnish ay kadalasang inilalapat sa mga ngipin. Dumidikit ito sa loob ng apat hanggang anim na oras bago hugasan sa pamamagitan ng pagsisipilyo. Gayunpaman, sa panahong ito, ang fluoride ay nasipsip na ng enamel ng ngipin at maaari nang magbigay ng permanenteng proteksyon sa sandaling panahon.
Fillings para sa bulok na ngipin
Ang mga fillings, na tinatawag ding restoration, ay ang pangunahing opsyon sa paggamot kapag medyo matagal nang nabubulok ang ngipin. Ang mga fillings ay gawa sa iba’t ibang materyales, tulad ng:
- Kulay ngipin na composite resin
- Porselana o dental amalgam na kombinasyon ng ilang mga materyales
Ang mga fillings ay idinisenyo upang maibalik ang mga ngipin na nasira dahil sa pagkabulok. Pinipigilan din ng paggamot na ito ang pagkabulok sa hinaharap at ang paglala ng bacteria sa iyong ngipin. Bago ang paggamot, kailangang matukoy ng iyong dentista kung aling materyal ang pinakaangkop para sa pagpuno.
Ang pinakamahusay at pinakasikat na mga uri ng pagpuno ay ang composite at porcelain fillings. Ang parehong mga opsyon na ito ay nag-aalok ng kanilang sariling mga benepisyo para sa mga pasyente na may mga cavity.
Crowns para sa bulok na ngipin
Ang crowns o korona ay maaaring kailanganin na gamot sa bulok na ngipin lalo na kung ito ay may mas malawak na pagkabulok. Ito ay isang sadyang pinapagawa na takip na pampalit sa buong natural na korona ng iyong ngipin. Babarenahan ng dentista ang lahat ng nabubulok na bahagi at sapat na natitirang bahagi ng iyong ngipin upang matiyak ang sukat nito. Ang mga korona ay maaaring gawa sa ginto, matibay na porselana, resin, o porselana na pinagsama sa metal o iba pang mga materyales.
Ang mga dental crowns ay kadalasang ginagamit upang gamutin ang mga ngiping malubha, habang ang mga fillings ay karaniwang ginagamit na pang gamot sa kokonting pagkabulok at pagkasira ng ngipin.
Root canal treatment para sa bulok na ngipin
Maaaring kailanganin na ang root canal kapag ang pagkabulok ay umabot sa panloob na materyal o pulp ng iyong ngipin. Ito ay isang alternatibong paggamot upang kumpunihin at iligtas ang isang nasira o nahawaang ngipin sa halip na tanggalin ito. Ang may sakit na pulp ng ngipin ay tinatanggal. Minsan inilalagay ito sa root canal para malinis ang anumang impeksyon. Pagkatapos nito ay pinapalitan ang pulp ng filling.
Ang root canal ay ang huling linya ng depensa pagdating sa pagliligtas ng ngipin na lubhang napinsala. Ang pamamaraan ay may masamang reputasyon dahil marami ang nag-iisip na ito ay masakit o nakakatakot. Gayunpaman, ang katotohanan ay mayroong konting sakit na sangkot sa isang root canal.
Pagbunot ng ngipin
Kung minsan, masyado ng bulok ang ngipin at hindi na kayang gamutin. Sa kasong ganito, ang gamot sa bulok na ngipin ay walang iba kung hindi ang pagbunot nito. Maaari itong mag-iwan ng puwang na nagpapahintulot sa pagtubo o paglipat ng iba pang mga ngipin. Kung maaari, isaalang-alang ang pagkuha ng bridge o dental implant upang palitan ang nawawalang ngipin.
Maaaring matukoy ng mga regular na pagsusuri ang mga cavity at iba pang mga kondisyon ng ngipin. Gawin ito bago pa sila magdulot ng nakakabagabag na mga sintomas at humantong sa mas malubhang problema. Kung mas maaga kang humingi ng pangangalaga, mas malaki ang pagkakataong mapigilan ang pagkabulok ng ngipin.













